fbpx
Umów wizytę:
+48 503 130 303
ul. Borowa 130/E, 43-100 Tychy
kontakt@stomatologiaplatek.pl
Stomatologia Płatek
  • Poznaj Nas
    • Nasz Gabinet
  • Nasi Specjaliści
    • Nasi Specjaliści
    • Harmonogram Lekarzy
  • Usługi
    • Nasze usługi
    • Cennik
  • Dla Pacjenta
    • Higienizacja zębów
    • Informacja dla Pacjenta
    • Opinie naszych Pacjentów
    • Standardy ochrony małoletnich
  • Galeria
    • Metamorfozy
    • Gabinet
  • Kontakt
Lokalizacja
Lokalizacja
Godziny pracy
Godziny pracy
Poniedziałek 10:00 – 20:00
Wtorek 09:00 – 20:00
Środa 09:00 – 20:00
Czwartek 09:00 – 20:00
Piątek 09:00 – 14:00
Harmonogram Lekarzy
Harmonogram Lekarzy

Orientacyjny grafik pracy naszych lekarzy.

Kalendarz
Cennik
Cennik
Wypełnienie (plomba) światłoutwardzalna 400- 630 zł
Leczenie kanałowe 1000 – 2400  zł
Znieczulenie komputerowe 60 zł
Tomografia komputerowa 150 – 370 zł
Zdjęcie RTG 50 zł
RTG pantomograficzne 120 zł
Szczegółowy cennik
Rejestracja
Rejestracja
  • +48 503 130 303
  • kontakt@stomatologiaplatek.pl
+
Home Metamorfozy
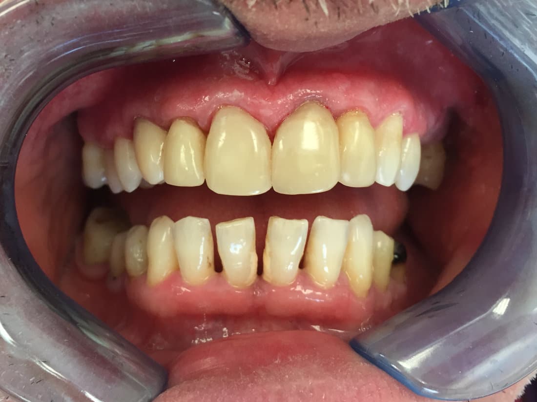
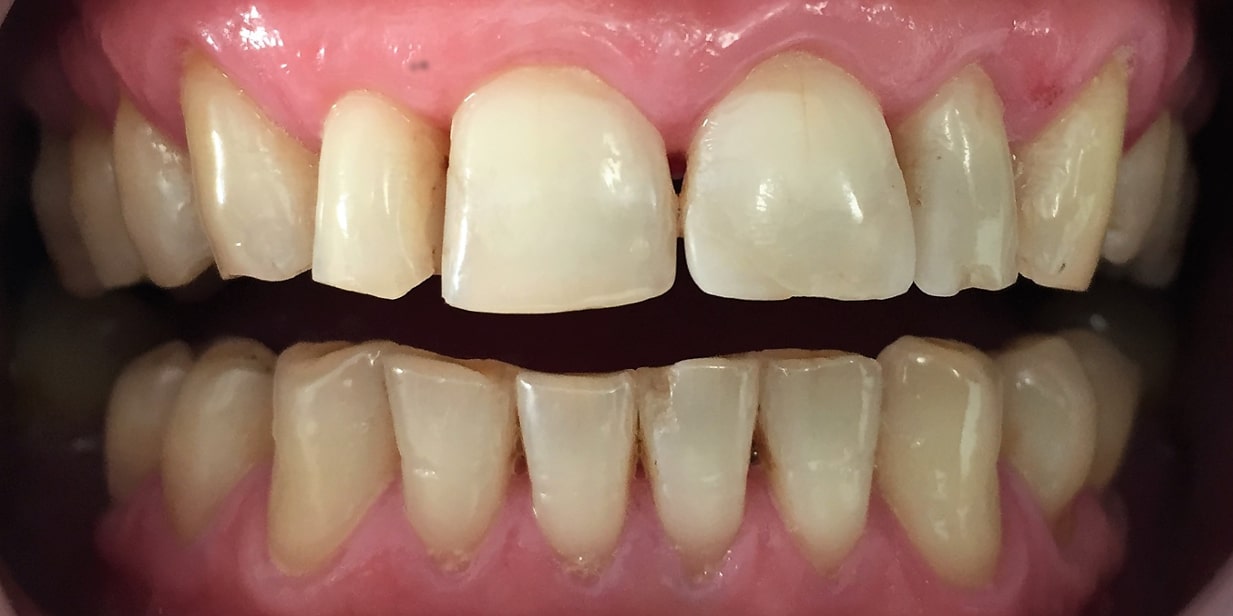
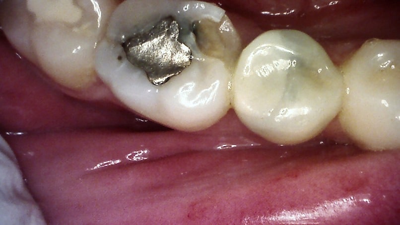
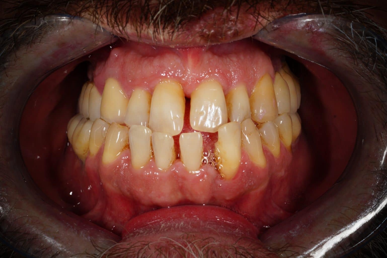
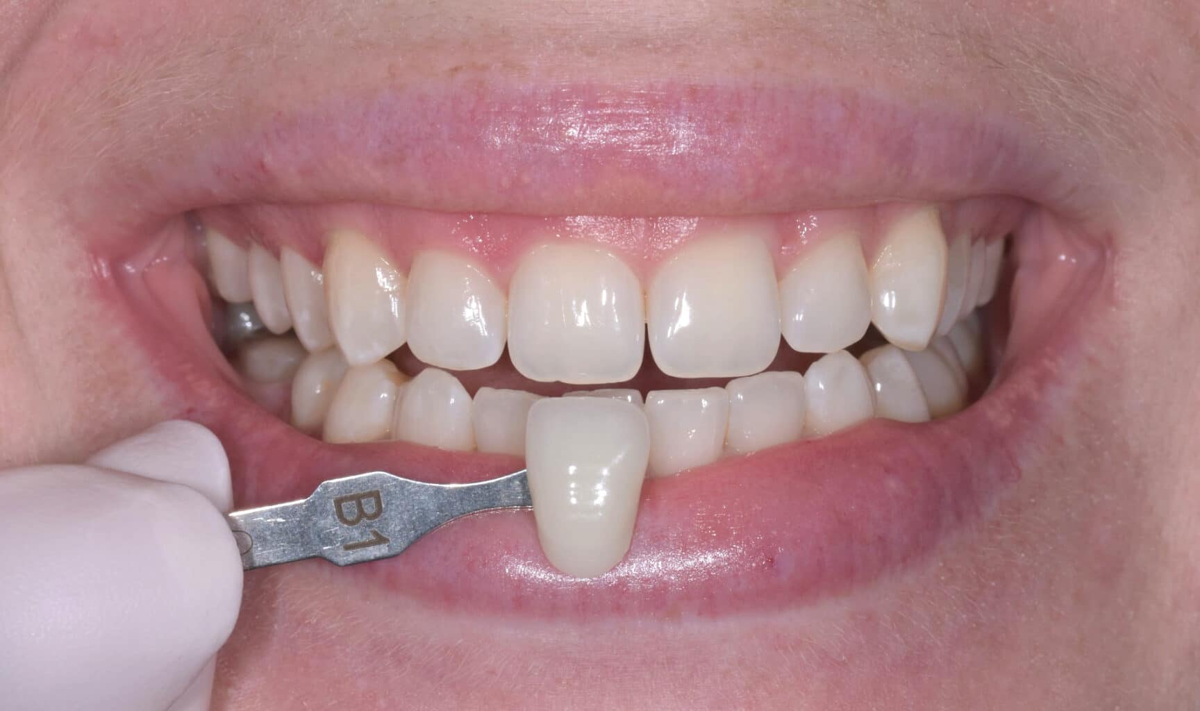
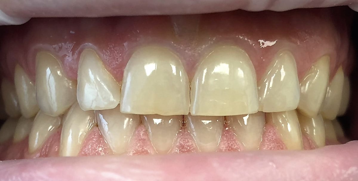
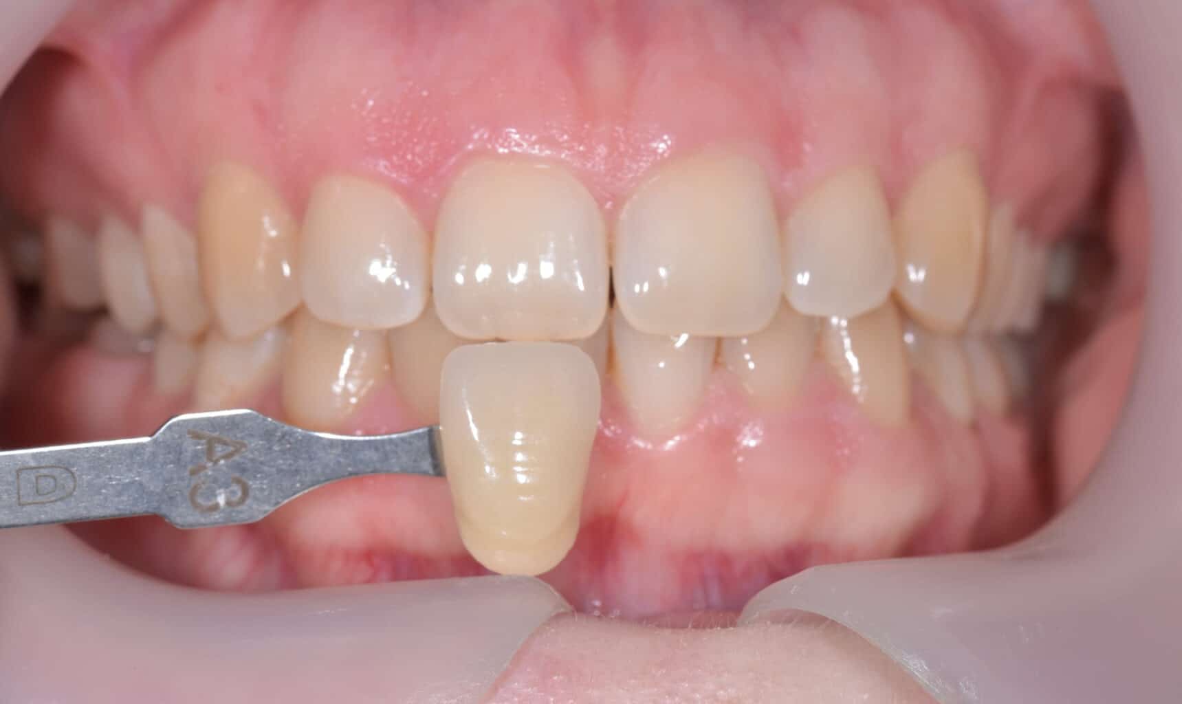
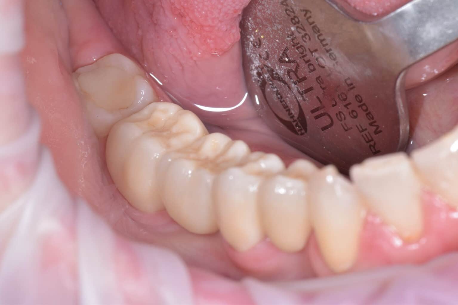
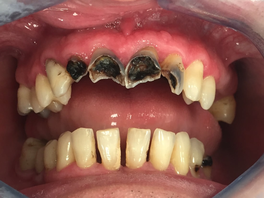
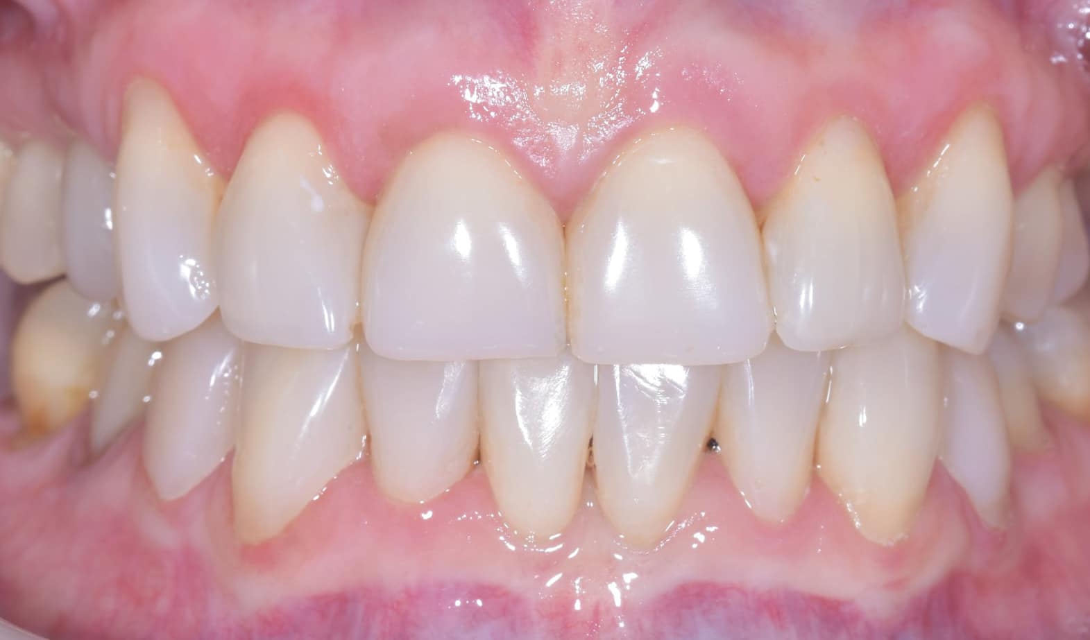
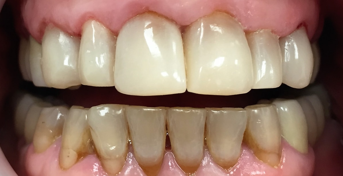
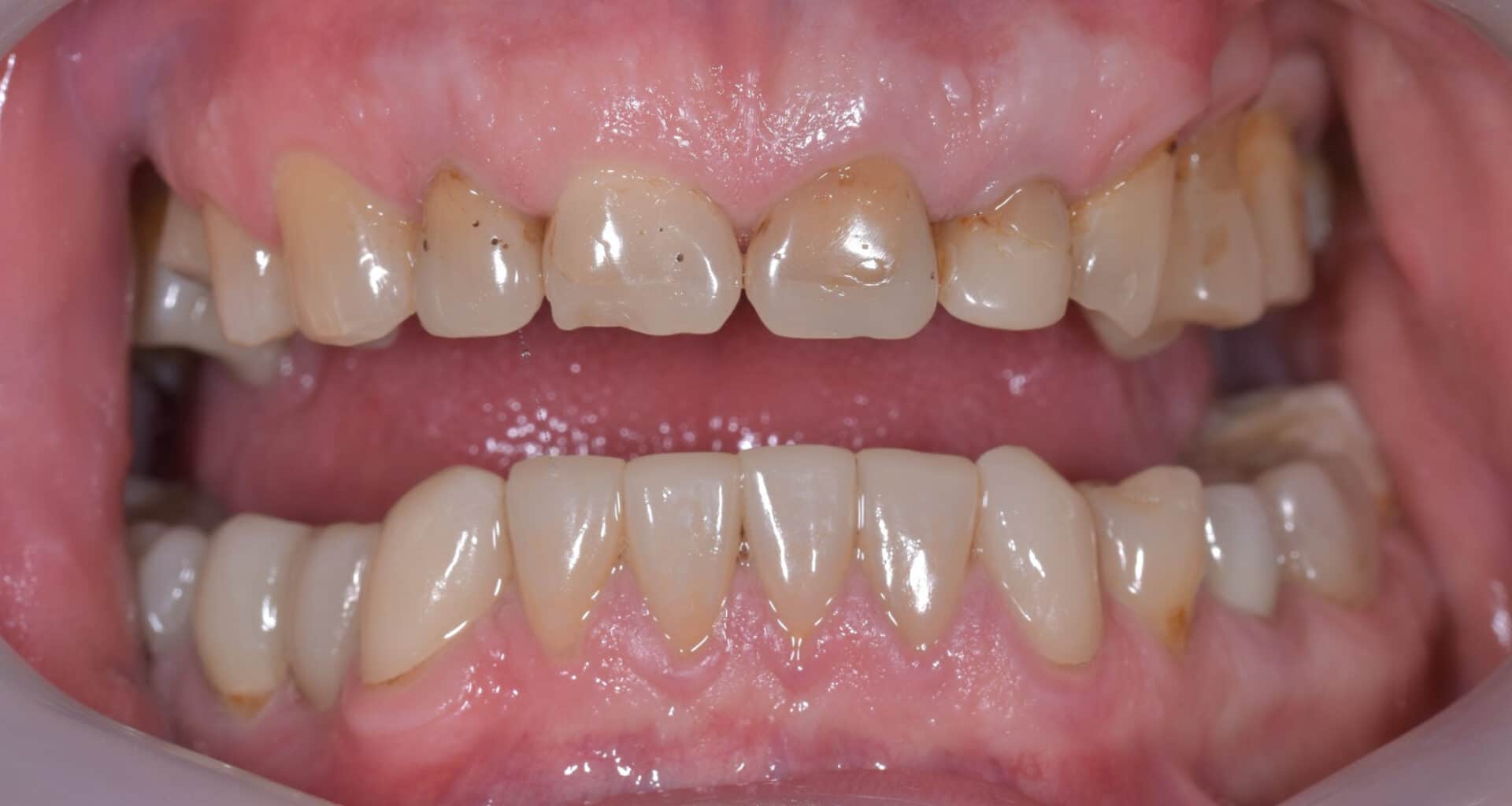
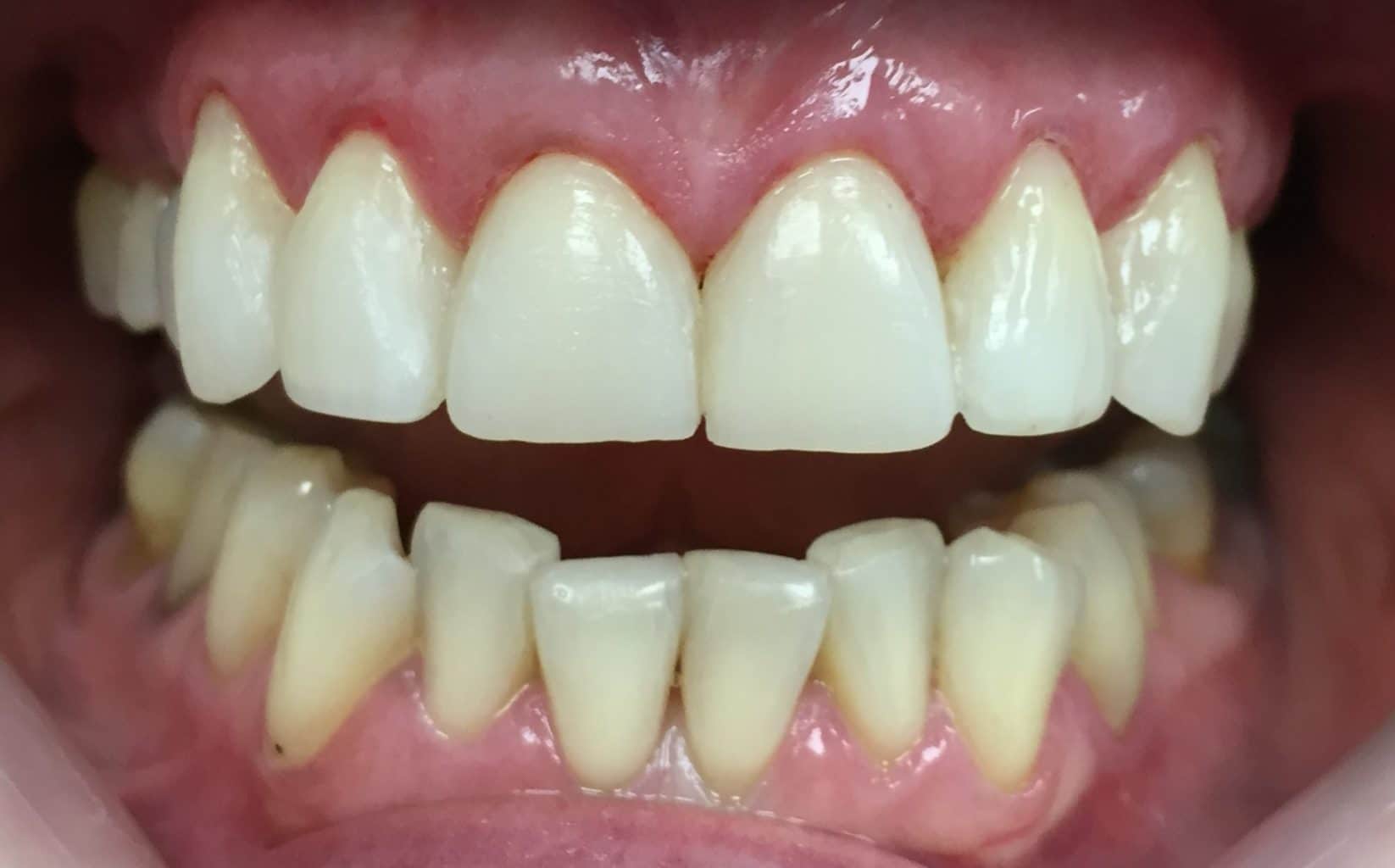
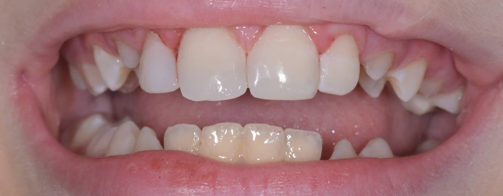
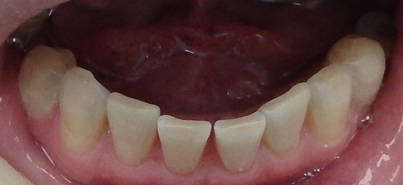
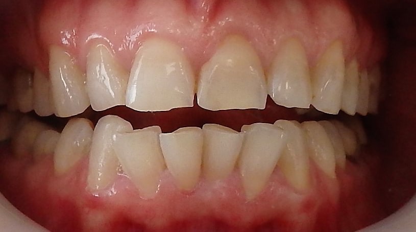
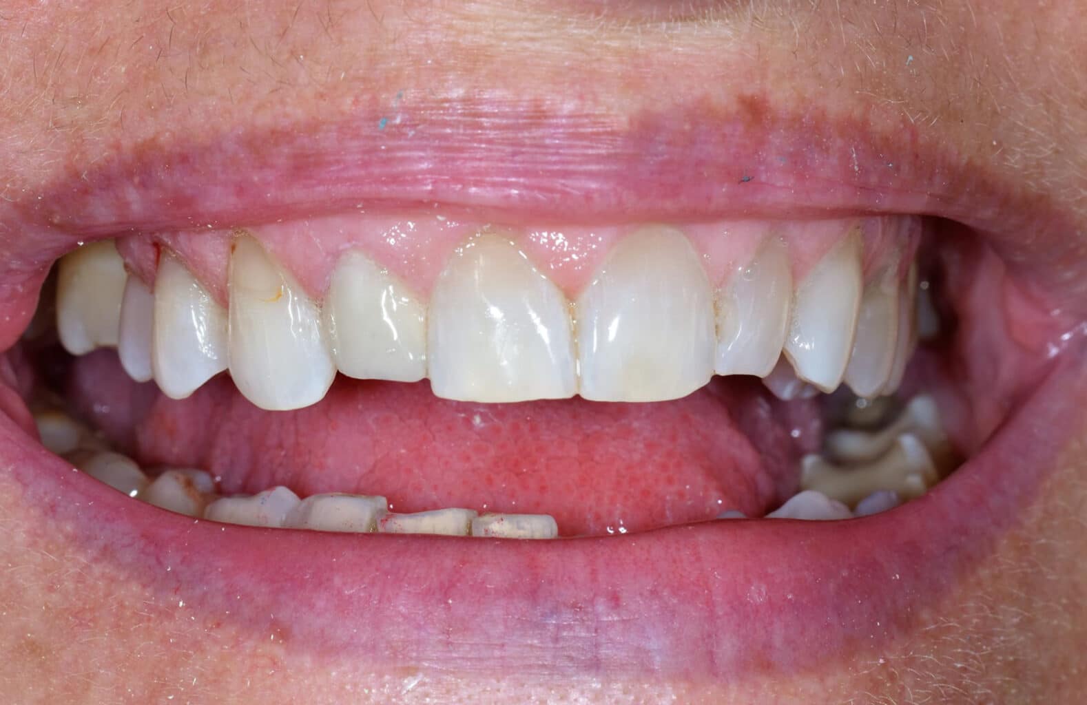
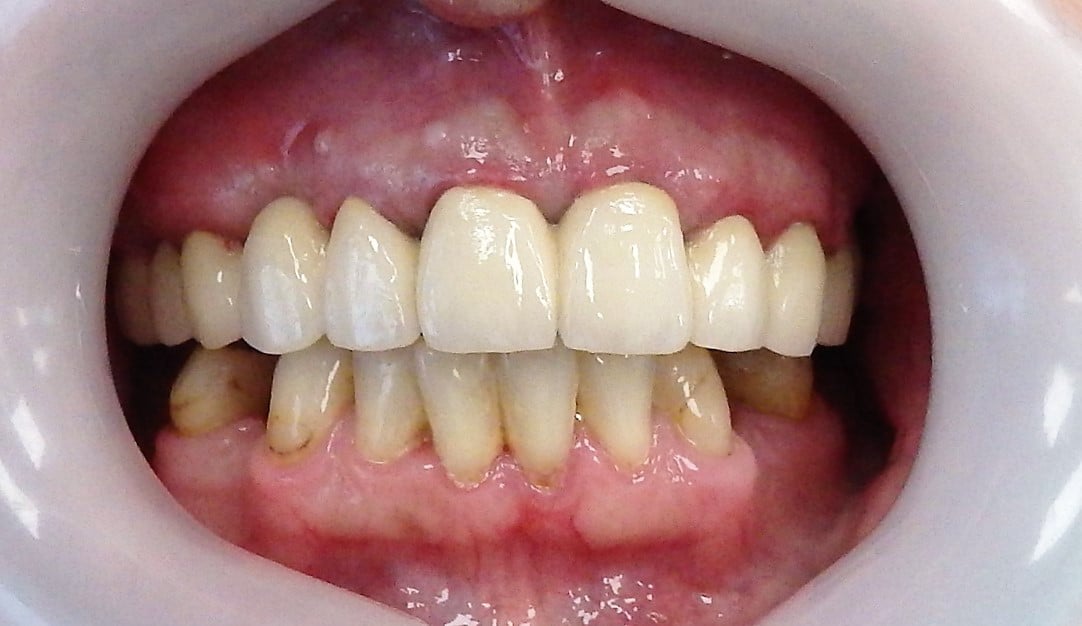
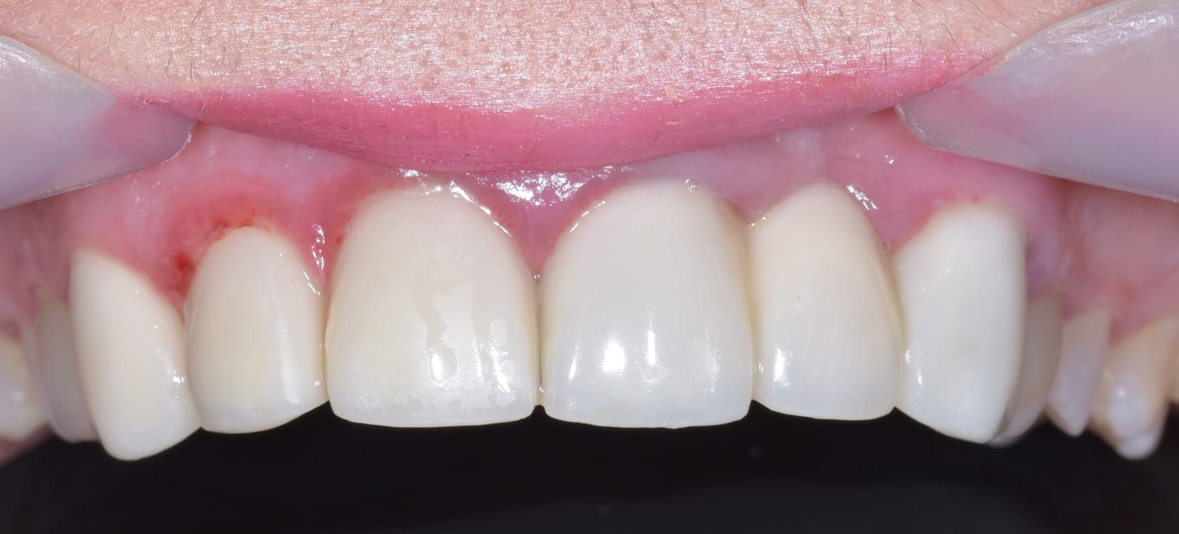
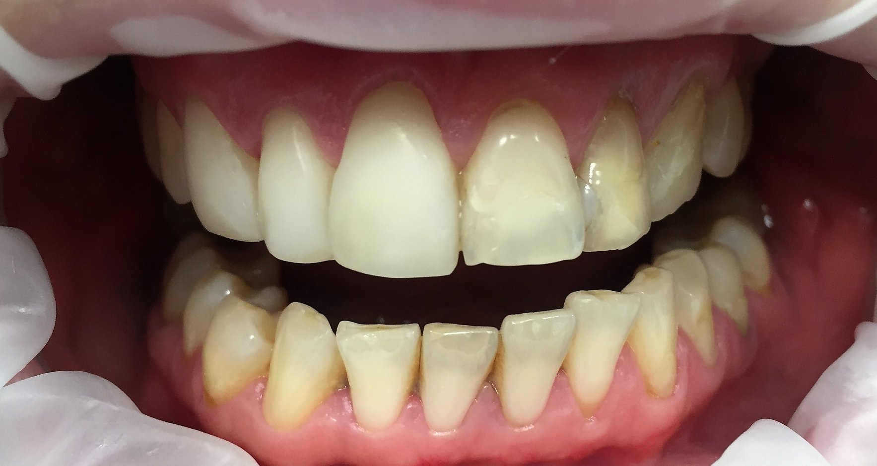
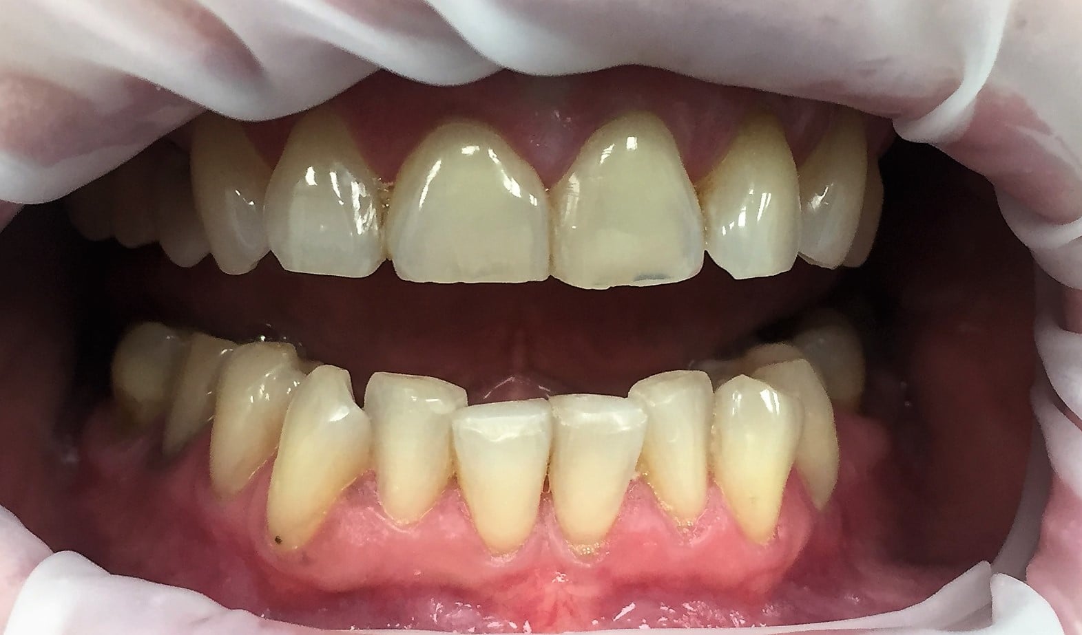
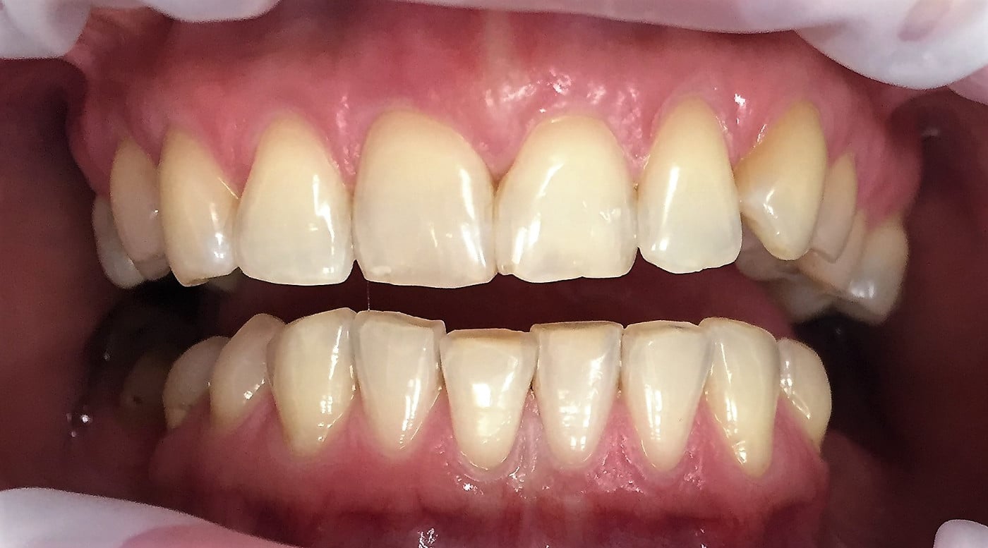
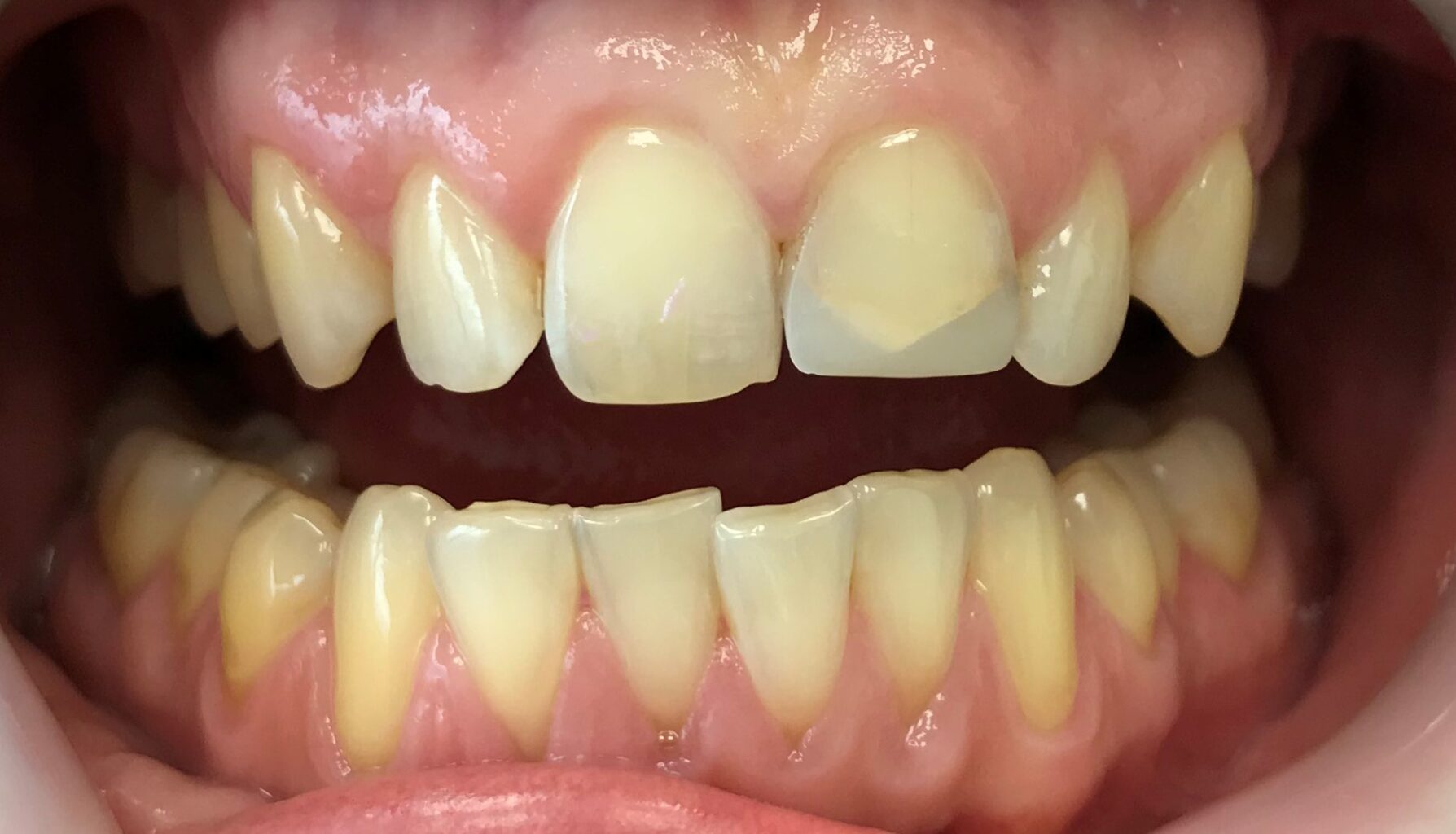
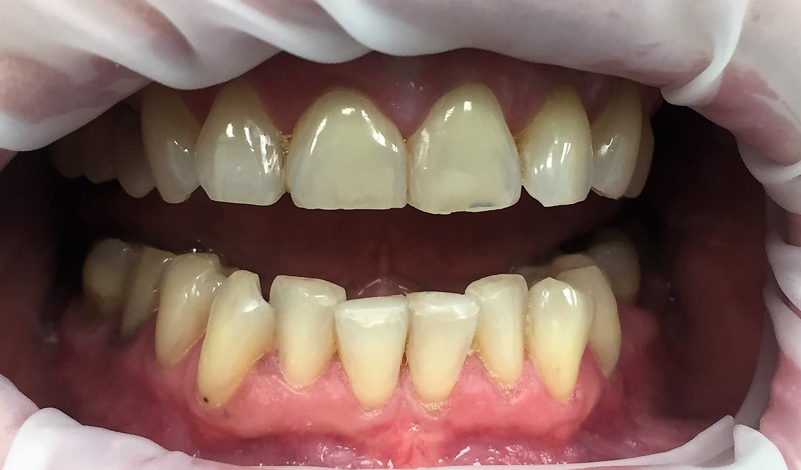
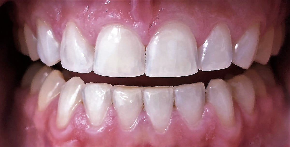
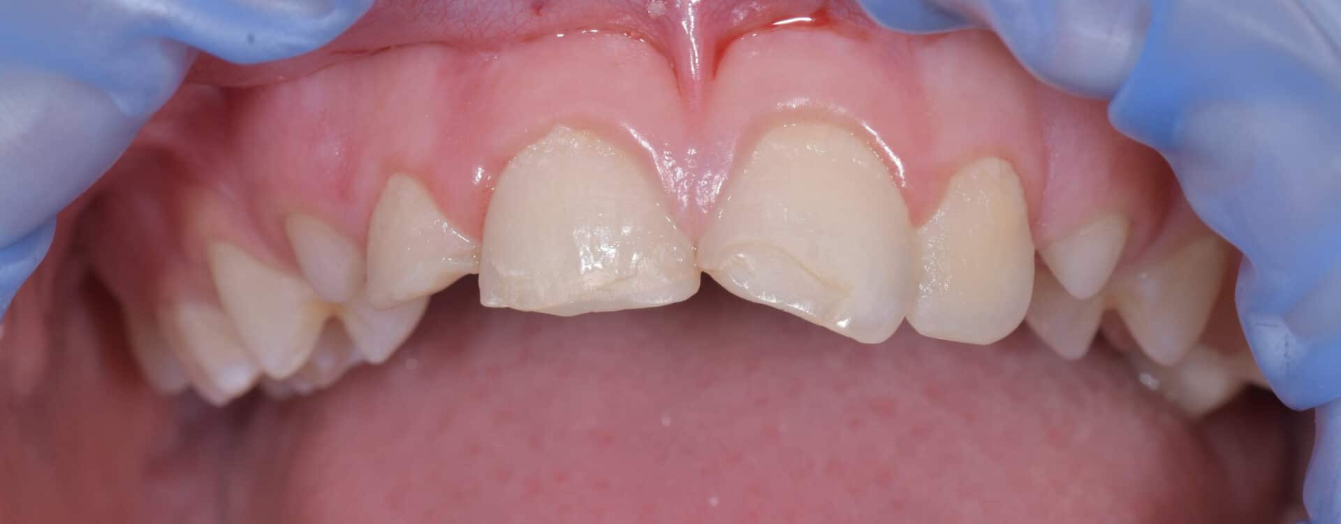
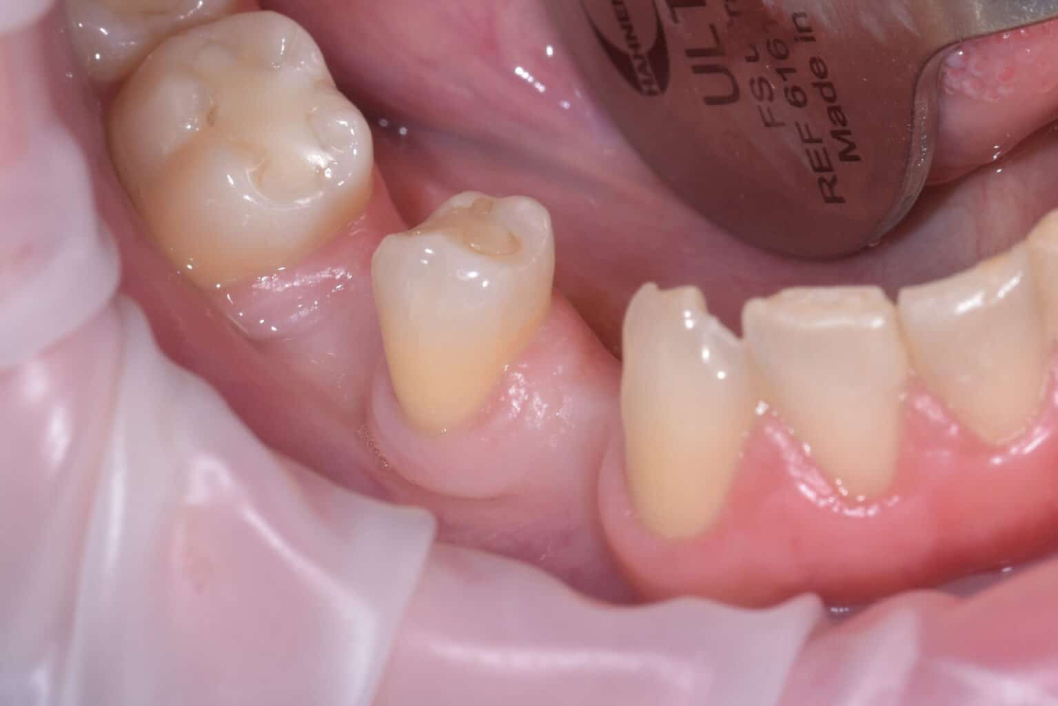
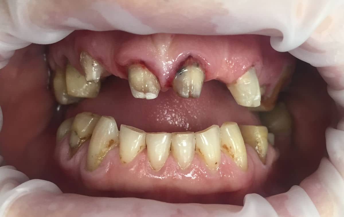
Galeria naszych Pacjentów

Metamorfozy

Uwielbiamy widzieć naszych pacjentów uśmiechniętych! Oto efekty naszej pracy.

  • Wszystkie
  • Wybielanie
  • Odbudowy
  • Licówki
  • Wypełnienia / Plomby

Czy Ty też chciałbyś mieć piękny uśmiech?

Już dziś umów się na wizytę

+48 503 130 303
Stomatologia Płatek
Bezboleśnie * Nowocześnie * Troskliwie
Stomatologia Płatek is with Julia Piecha and 6 others.

2 tygodni temu

Stomatologia Płatek
‼️NOWOŚĆ ‼️Rozwój stomatologii nie ma końca. Od dziś wprowadzamy zabieg „FluoSmile™” – zęby świecące w ciemności! Idealne na nocne spacery i dyskoteki. Możliwość wyboru koloru. Pierwsze 5 osób dziś gratis. ... Zobacz więcejZobacz mniej

Zdjęcie

Zobacz na Facebooku
· Udostępnij

Udostępnij na Facebooku Udostępnij na Twitterze Udostępnij na LinkedIn Udostępnij przez e-mail

Kontakt

  • ul. Borowa 130/E, 43-100 Tychy
    Mapa
  • +48 503 130 303
  • kontakt@stomatologiaplatek.pl
  • Facebook